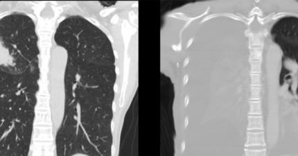
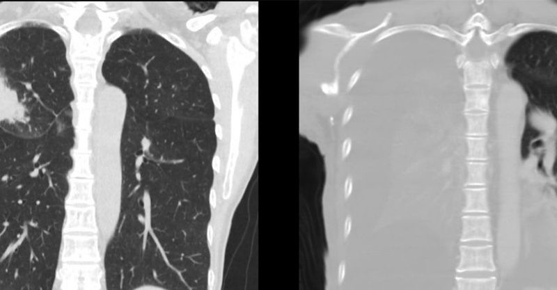
阿嬤餵孫吃整顆花生 1歲孫「肺部開始塌陷」醫氣炸:到底還要講幾次?嬰幼兒的身體尚未發育完全,所以飲食方面要格外注意。小兒科醫師廖穗綾就在臉書粉專分... February 13, 2026 健康, 台灣, 知識
桶裝冰淇淋超難挖!他揭「勺子正確用法」 網驚呼長知識:快去小火鍋試一下冷知識之所以冷就是很少人知道,有些冷知識實在太冷,說出來還以為是反串瞎掰的XD ... February 13, 2026 台灣, 小物
農曆春節穿衣禁忌!「3生肖」避免穿紅色 恐破財…專家曝改這色添好運農曆春節將至,不少人習慣穿上紅色衣物討個好彩頭,象徵喜氣與好運。不過,命理專家清... February 13, 2026 台灣, 運勢命理