首頁
台灣
世界
動物
圖文
娛樂
女生
出門
動漫
生活
公關專欄
編輯專欄
網人365
 
選擇語言:
還原 简体 繁體
  • 關於我們
  • 徵才
  • 聯絡我們
  • 刊登廣告
  • 安卓APP
  • 愛瘋APP

TEEPR 亮新聞

選單
  • 首頁
  • 台灣
  • 世界
  • 動物
  • 娛樂
    • 電影
    • 星聞
    • 影評
    • 美漫
  • 圖文
  • 女生
    • 時尚單品
    • 美妝
    • 感情
  • 出門
    • 旅遊
    • 美食
  • 動漫
    • 動漫宅
    • 遊戲
    • Cosplay
  • 生活
    • 求職
    • 藝術
    • 知識
    • 星座
    • 科技
    • 小物
    • 親子
  • 公關專欄
  • 編輯專欄
    • 蘑菇宅
    • 雪若Q談人蔘
    • Adrian
    • ChloE直講
  • 網人365
    • 今日紅什麼
    • 本週主打星
  • TEEPR原創影片
    • 叭啦叭啦研究室
    • TEEPR推一波
    • 亮新聞
  • IG專區
首頁
台灣
世界
動物
圖文
娛樂
女生
出門
動漫
生活
公關專欄
編輯專欄
網人365

知識

「坐越久」得大腸癌風險越高!醫教2招自救

August 27, 2025
知識, 台灣

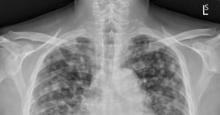
每年都照X光!50歲男「現1症狀」仍確診肺癌末期 醫驚:千百顆滿天星

August 27, 2025
台灣, 知識

看《鬼滅》怕上廁所!網傳「麻糬止尿」醫打臉了:吃1物才有用

August 27, 2025
台灣, 知識

研究:女性「1睡法」死亡率飆升至78% 睡滿8小時也沒用

August 26, 2025
台灣, 世界, 知識

他「小腿長斑」沒理會!半年後慘洗腎 醫嘆:已侵襲全身

August 26, 2025
台灣, 知識

外觀夢幻!超罕見「藍龍」現身海灘 當局全面禁止下水

August 25, 2025
世界, 知識, 動物

一家人全罹肝癌!全因「重複用竹筷」惹禍

August 25, 2025
台灣, 知識

出遊返家「客廳竟變蛇窩」!夫妻網購1物釀禍

August 25, 2025
世界, 知識, 動物

她床板掀開「全是詭異灰塵」!網一看崩潰:別睡了快逃

August 24, 2025
台灣, 知識

「夢到已故父母、親人」原來是暗示!專家揭真相「跟現實有關」

August 24, 2025
世界, 知識

學蔡依林9:30睡覺「一票苦主結局悲劇」 醫建議「3班別」最佳入睡時間

August 23, 2025
星聞, 知識, 台灣

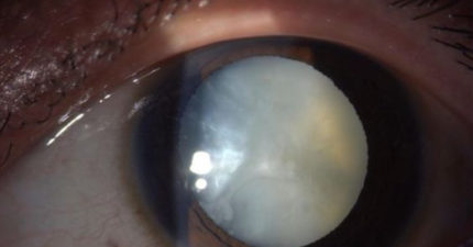
台中40歲OL白內障「視力剩0.1」 醫示警「要避免6事」

August 23, 2025
台灣, 知識
跳轉頁面« 第一頁‹ 上一頁2829303132333435363738下一頁 ›最後一頁 »
← Older posts
Newer posts →
TEEPR原創影片
網人365
編輯專欄
公關專欄
生活
動漫
出門
ChloE直講
女生
娛樂
Travel Seefood
科技
小物
Adrian
圖文
雪若Q談人蔘
動物
美漫
親子
動漫宅
Jane的假的
影評
星座
遊戲
美妝
蘑菇宅
台灣
本週主打星
美食
世界
知識
Cosplay
時尚單品
叭啦叭啦研究室
電影
星聞
今日紅什麼
藝術
亮新聞
感情
旅遊
Girls Talk!
IG專區
激辯擂台
TEEPR推一波
求職
TEEPR 亮新聞 (Awesome Co. Ltd.) Copyright © 2014
DMCA.com Protection Status
關於我們
服務條款
隱私條款
聯絡我們
爆料信箱:[email protected]
聯絡專線:+886-2-7709-1699
 
兒童不宜內容

此內容只給年滿18歲的讀者觀看,如非18歲請退出!

我大人了啦!
未滿18歲
cwv3_den_title

cwv3_den_msg

未滿18歲