首页
台湾
世界
动物
图文
娱乐
女生
出门
动漫
生活
公关专栏
编辑专栏
网人365
 
選擇語言:
还原 简体 繁體
  • 关于我们
  • 征才
  • 联络我们
  • 刊登广告
  • 安卓APP
  • 爱疯APP

TEEPR 亮新闻

選單
  • 首页
  • 台湾
  • 世界
  • 动物
  • 娱乐
    • 电影
    • 星闻
    • 影评
    • 美漫
  • 图文
  • 女生
    • 时尚单品
    • 美妆
    • 感情
  • 出门
    • 旅游
    • 美食
  • 动漫
    • 动漫宅
    • 游戏
    • Cosplay
  • 生活
    • 求职
    • 艺术
    • 知识
    • 星座
    • 科技
    • 小物
    • 亲子
  • 公关专栏
  • 编辑专栏
    • 蘑菇宅
    • 雪若Q谈人参
    • Adrian
    • ChloE直讲
  • 网人365
    • 今日红什么
    • 本周主打星
  • TEEPR原创影片
    • 叭啦叭啦研究室
    • TEEPR推一波
    • 亮新闻
  • IG专区
首页
台湾
世界
动物
图文
娱乐
女生
出门
动漫
生活
公关专栏
编辑专栏
网人365

亮小編寫的文章

以为北部人什么都懂?屏东这碗一端出来 料比饭多惊呆260万!

April 23, 2018
美食

倪安东只剩女儿!老婆暴怒求偿完 直接提:就离婚吧!

April 23, 2018
台湾

孙安佐2天后开庭!「死神圣物」决定命运 狄莺夫妻只能等奇蹟

April 23, 2018
台湾

算命师警告「命格不佳」差点被堕胎 萝莉塔刚出生家里就有灾难

April 22, 2018
星闻, 台湾

路人乞丐跪趴街头旁堆一团枯叶堆 仔细一看傻眼:好几个月的薪水啊!

April 22, 2018
台湾, 世界

咘咘担起姐姐重责 意外曝光Bo妞真名 网友喊:太诗情画意

April 22, 2018
星闻, 台湾

许路儿冻龄穿搭公开!戴Oversize墨镜年龄-10岁 夏天打趴假掰妹

April 22, 2018
台湾, 时尚单品

台男穿搭红到国外!地铁宅男「一看下面」美网友:有勇气 

April 21, 2018
台湾, 世界, 图文

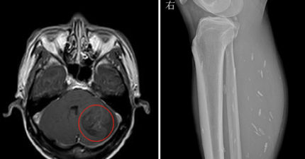
他平常狂吃「半熟猪肉」,医生打开他的X光片差点呕吐「肌肉组织里的小白点会要你的命!」

April 18, 2018
台湾, 世界

纳豆被爆狂骂客人「你就是GAY!」,还招呼好友来拍照「女星气炸离场」!

April 18, 2018
星闻, 台湾

为何清朝格格出嫁后「很少生孩子」?背后「奇葩原因」连驸马都不解…

April 16, 2018
世界

从花莲走到嘉义!孝子为重病母揹妈祖「17天苦行600公里」,「用针戳破水泡」他:这一跪圆满了

April 16, 2018
台湾, 世界
跳轉頁面« 第一頁‹ 上一頁567891011121314下一頁 ›
← Older posts
Newer posts →
TEEPR原創影片
網人365
編輯專欄
公關專欄
生活
動漫
出門
ChloE直講
女生
娛樂
Travel Seefood
科技
小物
Adrian
圖文
雪若Q談人蔘
動物
美漫
親子
動漫宅
影評
星座
遊戲
美妝
Jane的假的
本週主打星
美食
世界
知識
Cosplay
時尚單品
叭啦叭啦研究室
電影
蘑菇宅
台灣
藝術
亮新聞
感情
旅遊
Girls Talk!
星聞
今日紅什麼
IG專區
激辯擂台
TEEPR推一波
求職
TEEPR 亮新聞 (Awesome Co. Ltd.) Copyright © 2014
DMCA.com Protection Status
關於我們
服務條款
隱私條款
聯絡我們
爆料信箱:[email protected]
聯絡專線:+886-2-7709-1699
 
兒童不宜內容

此內容只給年滿18歲的讀者觀看,如非18歲請退出!

我大人了啦!
未滿18歲
cwv3_den_title

cwv3_den_msg

未滿18歲